Back to Projects
AI/Machine Learning

Enhanced Deep Learning Classification of Alzheimer's Disease

A CNN-based model for classifying Alzheimer's disease stages from brain MRI scans, achieving significant accuracy improvements through advanced data augmentation techniques.

CategoryMedical AI Research
ConferenceAAIC 2025
StatusPublished

Project Overview

This research project developed a deep learning model capable of accurately classifying different stages of Alzheimer's disease from brain MRI images. The model was trained on a cohort of 400+ students and achieved significant improvements in diagnostic accuracy through innovative data augmentation techniques.

Project Visualizations

CNN Architecture

CNN Architecture

ResNet50-based neural network architecture with custom classification head.

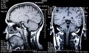
MRI Sample Images

MRI Sample Images

Brain MRI scans showing different stages of Alzheimer's progression.

Research Highlights

  • ResNet50 Architecture: Leveraged transfer learning with ResNet50 for robust feature extraction
  • Advanced Augmentation: Implemented sophisticated data augmentation for model robustness
  • Large-Scale Training: Trained on 400+ student cohort dataset
  • AAIC Presentation: Research presented at Alzheimer's Association International Conference 2025
  • Peer-Reviewed Publication: Findings published in medical journal
  • HPC Computing: Utilized Polaris high-performance computing for training

Technology Stack

Python

TensorFlow

ResNet50

FSL

Google Colab

HPC Polaris